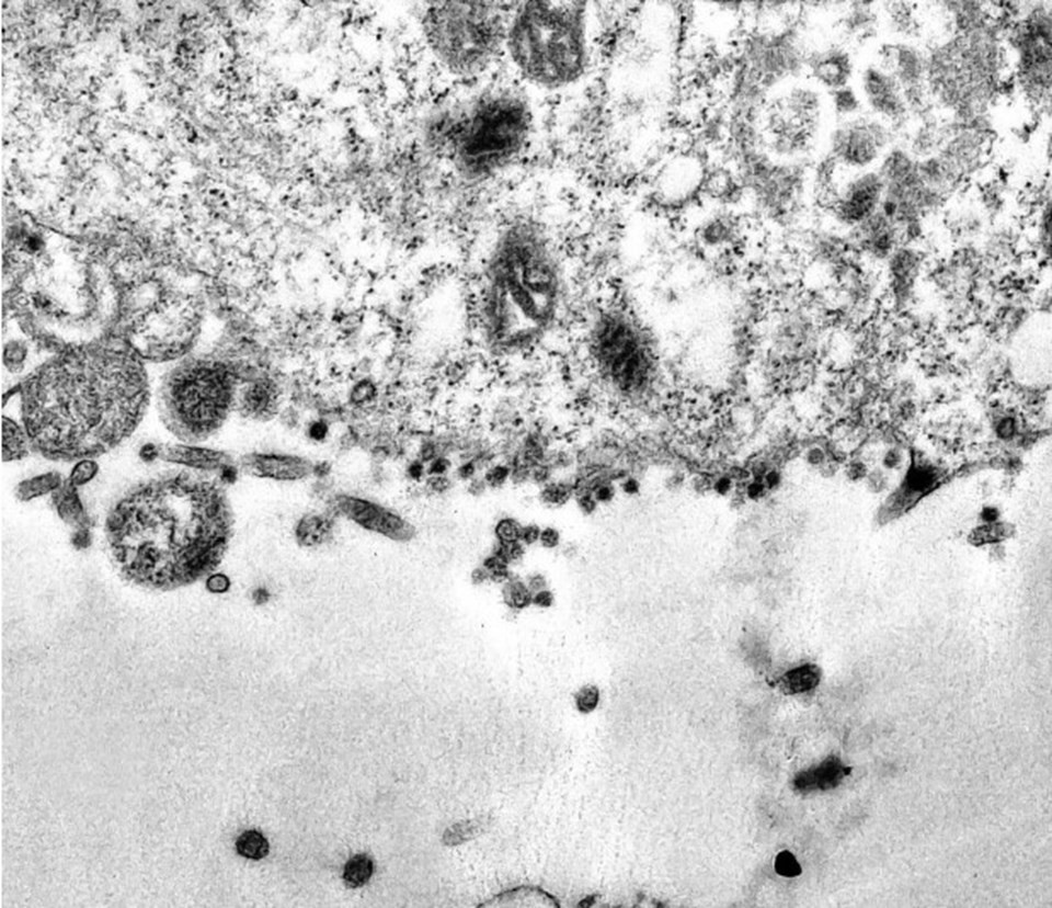
Yeni tip corona virüsün (Covid-19) insan hücrelerindeki yayılışı elektron mikroskobuyla görüntülendi.
Covid-19 virüsünün parçacıkları olan siyah noktalar, genetikten sorumlu olan bir sitoplazmayı enfekte etmeye çalışıyor.
Brezilyalı bilim insanları tarafından yapılan çalışmada corona virüsün insan hücrelerinde yarattığı tahribat tüm yönleriyle açığa çıkarıldı.
VİRÜSE İSMİNİ VEREN YAPILAR
'Corona' Latince taç veya hale anlamına gelmekte ve virüs partiküllerine adını veren dış kenarındaki sivri uçları açıkça görülüyor.
İşte tam olarak corona virüsün bir hücreye bulaştığı an.

Görüntüdeki siyah noktalar virüs parçacıkları