İtalya'daki Great Metropolitan Hastanesi'nde yaşanan ve tıp literatürüne giren olayda 58 santimetre uzunluğundaki bir seks oyuncağı cinsel tatmin yaşamak isteyen bir adamın içinde kaldı.
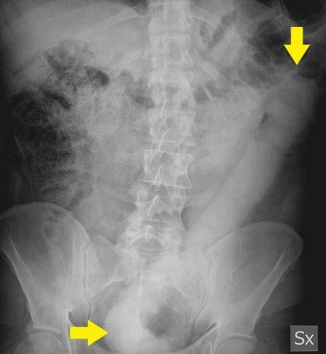
Hastaneye kaldırılan adamın içinden seks oyuncağını çıkaramayan doktorlar röntgeni görünce yeni bir yöntem izledi.
Dünyanın saygın tıp dergilerinden BMJ’de yer alan makale, Milano il sınırları içindeki Niguarda’da geçen bir olayı mercek altına aldı.
İngiliz ve ABD basınında da yer alan makalede, 31 yaşında olan ve ismi açıklanmayan bir adamın karın ağrısıyla hastaneye gittiği ifade ediliyor.
Derginin haberinde, adamın 24 saat önce seks fantezisi için makatından bir cinsel oyuncak soktuğunu söylediği ve bunu çıkaramadığı aktarıldı.

Haberde, adamın karın ve mide ağrısı çektiği ifade edilirken doktorlar röntgen sonuçlarını görünce şaşkına döndü.
Hem geniş hem de yaklaşık 58 santimetrelik uzunluğuyla adamın göğüs kısmına kadar giren cismi çıkarmak için doktorlar ameliyata girdi. Fakat Great Metropolitan Hastanesi’nde yaşanan olayda doktorlar kayganlaştırıcı ve benzeri sistemlerle nesneyi çıkarmayı başaramadı.
Acı içinde kıvranan adamın içindeki nesnenin uzun olması dolayısıyla çıkarılamadığını tespit eden doktorlar yeni bir yöntem denedi.

YENİ BİR YÖNTEM DENENDİ
Doktorlar bir ucunda ilmik olan bir sistem geliştirdi ve adamın bağırsakları içinden seks oyuncağına erişmeyi başardı.
Doktorlar daha sonra ipi gerince oyuncağı kavradı ve adamın vücudundan çıkardı.
Doktorlar, zorlayıcı operasyonun ardından hastanın kısa süre içerisinde taburcu edildiğini açıkladı.
(POSTA)